ABA Applied Exam High-fidelity simulation

Practice the full applied exam with AI examiners.

Realistic SOE and OSCE simulation with adaptive questioning, structured feedback, and readiness tracking.

  • SOE + OSCE stations
  • Adaptive AI examiners
  • Instant feedback reports
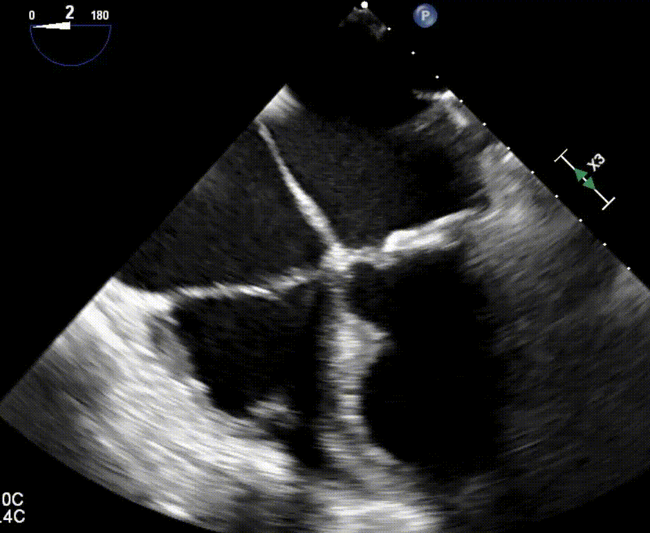
SOE — Cardiac Function Interpretation
Station 2 of 7 05:18
TEE preview: severely depressed LV and RV function
Case focus
Severe biventricular dysfunction. Interpret the finding, prioritize immediate concerns, and outline your anesthetic management.
SOE + OSCE
Full exam simulation
Adaptive AI
Dynamic examiner logic
Instant Reports
Structured feedback
Exam Mode
Time-based stations
Live preview

Your hub for oral exams, OSCE stations, and progress

ABA Applied — Dashboard
Lv.--
0 XP
0 Day
0 Exams
--

Choose Your Exam

Select the exam component you would like to practice.

🎙️
SOE Exam
2 sessions with AI examiners covering clinical scenarios.
1h 40m
🏥
OSCE Exam
7 stations: communication, monitors, ultrasound.
1h 24m
🎯
Practice SOE
Single case — flexible timing, no pressure.
Untimed
🎯
Practice OSCE
Single station — at your own pace.
Untimed
📋
Full Exam
Complete ABA Applied — SOE + OSCE
SOE: 2 sessions • 1h 40m
OSCE: 7 stations • 1h 24m
~3h 4m
Step 1 of 9

Seamless Candidate Onboarding

Begin your exam day exactly as you would in the real ABA Applied Exam. From digital identity verification to secure locker storage for your belongings, our virtual environment mirrors the authentic, high-stakes atmosphere to help you get comfortable with the official procedures before your actual exam date.
Lobby — Registration

AMERICAN BOARD OF ANESTHESIOLOGY

Applied Examination — The AIME Center

Welcome, Candidate

Please verify your identity to begin the examination process. All personal belongings must be stored in the provided locker.

Step 2 of 9

Case Review Room

Immerse yourself in our realistic preparation portal. Access digital clinical notes, lab results, and patient histories via an interface identical to the official exam clipboard.
SOE — Preparation phase
ABA Applied

SOE Session 1 — Preparation

Review the patient case materials

Case Review
Session 1 Preparation Phase
Step 3 of 9

AI-Powered Structured Oral Examination (SOE)

Engage in a dynamic, high-fidelity dialogue with our intelligent AI examiners. The conversation layout, timing phases, and examiner interactions are precisely simulated to match the live ABA assessment. Experience adaptive questioning that responds directly to your clinical reasoning in real-time.
SOE — Oral session
Intra-Op
Dashboard
Step 4 of 9

The Virtual OSCE Corridor

Navigate the exam rooms seamlessly. Our true-to-life hallway interface displays real-time countdowns for your preparation and encounter phases at every station. Walk through the 7-station circuit with the same pacing, pressure, and structure you will face during your actual board examination.
OSCE — Corridor
Corridor
Step 5 of 9

Professional Communication Station

Tackle challenging ethical, professional, and informed-consent scenarios. Converse with AI-driven standardized patients and surgeons who react authentically to your tone, bedside manner, and medical explanations, ensuring you master the art of effective interprofessional and patient communication under pressure.
OSCE — Communication
Examiner at desk
Standardized Patient
Communication
OSCE Progress
Station 1 of 7
Dashboard
Step 6 of 9

Dynamic Crisis Management

Step into a fully simulated operating room. Analyze live-streaming waveforms and changing patient vitals just as you would during an intraoperative crisis. Switch modes seamlessly to manage acute scenarios, testing your ability to make rapid, safe, and definitive clinical decisions.
OSCE — Monitor station
Current question

Dashboard
Step 7 of 9

Transesophageal Echocardiography (TEE)

Demonstrate your diagnostic expertise with our interactive TEE station. Review high-quality echocardiogram loops—such as right and left ventricular assessments—while simultaneously tracking patient vitals. Accurately interpret complex hemodynamic states exactly as expected in the live exam.
OSCE — TEE (combined station)
Current question

Dashboard
Step 8 of 9

Point-of-Care Ultrasound (POCUS)

Master point-of-care ultrasound applications. Identify critical anatomical structures with dynamic labeling and utilize features like color Doppler. Confidently evaluate diagnostic images and perform focused assessments exactly as expected in the real OSCE.
OSCE — Ultrasound
Case 1 of 3 2:30
Probe Labels Doppler Axis
Examiner
Checklist
    Identified
      Dashboard
      Step 9 of 9

      Actionable Performance Analytics

      Instantly review a comprehensive breakdown of your SOE and OSCE performance. Gain deep insights into your clinical strengths and pinpoint critical knowledge gaps. Receive detailed, narrative feedback based on ABA scoring criteria to strategically guide your next study session.
      Results — Performance report
      ABA Applied

      Examination Results

      Your ABA Applied Exam Performance Report

      --
      Overall

      SOE Scores

      Oral Exam
      Session 1 --
      Session 2 --

      OSCE Scores

      Stations

      Performance by Domain

      Clinical Knowledge
      --
      Clinical Reasoning
      --
      Patient Safety
      --
      Communication
      --
      Problem Solving
      --

      AI Examiner Feedback

      Strengths
      Areas for Improvement
      Detailed Feedback
      Ideal Answers (Review)

      Your Progress

      --
      Total XP
      --
      Level
      --
      Day Streak
      --
      Exams Done
      Exam Modes

      Choose your preparation path.

      Timed exam components, low-pressure practice, or the full simulation — same choices as your dashboard.

      🎙️
      SOE Exam
      2 sessions with AI examiners covering clinical scenarios.
      1h 40m
      🏥
      OSCE Exam
      7 stations: communication, monitors, ultrasound.
      1h 24m
      🎯
      Practice SOE
      Single case — flexible timing, no pressure.
      Untimed
      🎯
      Practice OSCE
      Single station — at your own pace.
      Untimed
      📋
      Full Exam
      Complete ABA Applied — SOE + OSCE.
      SOE: 2 sessions • 1h 40m
      OSCE: 7 stations • 1h 24m
      ~3h 4m

      AI-powered examiners

      Adaptive questioning that reacts to your answers, escalates cases, and sustains realistic board-style conversation.

      Station realism

      Each station type has its own pacing, layout, and interaction model — designed around the real exam workflow.

      Actionable feedback

      Score breakdowns, domain trends, and AI commentary after every session to direct your next practice block.

      Ready to start practicing?

      Open the dashboard and begin your first session.